Combining Anion Exchange and Size Exclusion Chromatography for Extracellular Vesicle Enrichment from Small Volumes of Human and Mouse Plasma for Quantitative Proteomics

Avatar
Poster
Voice is AI-generated
Connected to paperThis paper is a preprint and has not been certified by peer review

Combining Anion Exchange and Size Exclusion Chromatography for Extracellular Vesicle Enrichment from Small Volumes of Human and Mouse Plasma for Quantitative Proteomics

Authors

Dunlop, F. M.; Mason, S.; Hafizi Rastabi, N.; Alexander, S. E.; Robatjazi, S.; Davis, J.; Laird, C.; Kang, T.; Mathivanan, S. E.; Russell, A. P.

Abstract

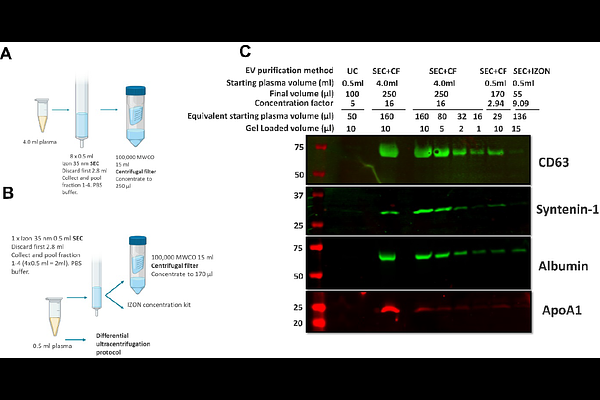
Extracellular vesicles (EVs) are promising biomarkers, yet their proteomic analysis from plasma is hampered by low abundance and co-purification of contaminants (e.g., lipoproteins, platelets) and technical variability, particularly in small-volume animal models. We developed and validated a modular protocol integrating Size Exclusion Chromatography (SEC) with Strong Anion Exchange (SEC-SAX) specifically tailored for quantitative LC-MS proteomics from small starting volumes (150 l of plasma). SEC alone successfully removed 99% of Albumin, and the SAX step significantly enriched EVs over contaminating lipoproteins. Downstream single pot solid phase enhanced (SP3) sample prep and STAGE tip solid phase extraction ensured maximum proteome depth. Critical confounding factors were objectively assessed: Platelet Factor 4 (PF4) was confirmed as a highly sensitive platelet marker, confirming the necessity of meticulous plasma preparation. Sample hemolysis impacted the plasma EV proteome data. As such, an objective measure (nanodrop spectrophotometer) of hemolysis and exclusion of hemolysed samples (heme >0.3 mg/ml) is recommended. The protocol is applicable to both human and mouse plasma as demonstrated by EV enrichment and quantification of biomarker proteins associated with neurodegenerative diseases from eight individual mouse plasma samples.

Follow Us on

0 comments

Add comment