Multi-region biopsies and patient-derived neurosphere cultures reveal spatial divergence in glioblastoma.

Avatar
Poster
Voice is AI-generated
Connected to paperThis paper is a preprint and has not been certified by peer review

Multi-region biopsies and patient-derived neurosphere cultures reveal spatial divergence in glioblastoma.

Authors

Salatino, R.; Geisberg, J.; Romero-Toledo, A.; Oakes, B.; Nwachukwu, J. C.; Hwang, D.; Vincentelli, C.; Szentirmai, O.; McDonald, T. O.; Nettles, K. W.; Michor, F.; Janiszewska, M.

Abstract

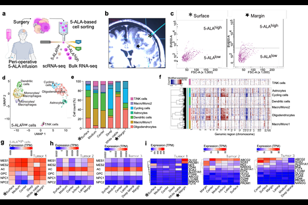
Intratumor heterogeneity (ITH) is one of the main reasons for the lack of effective targeted therapies for glioblastoma (GBM). Imaging-guided surgical navigation allows for tumor-wide sampling to account for variation across distant regions of the tumor, but typical drug screening is performed on cell lines derived from a single biopsy and does not account for GBM heterogeneity. Here we profiled matching MRI-guided multi-region primary tumor biopsies from 6 GBM cases (n=40 biopsies) and corresponding neurosphere cultures (n=30) derived from these spatially distinct tumor samples. We found that in vitro cultures derived from distinct regions of the same tumor display divergent phenotypes, proliferative capacity and ability to accumulate 5-aminolevulinic acid, used to visualize cancer cells during surgery. The differential drug response of the multi-region neurospheres remains linked to the gene expression of the original tumor biopsies. Thus, studies with multiregion-derived neurospheres are essential to faithfully model GBM ITH for therapeutic testing.

Follow Us on

0 comments

Add comment