Lysine-rich regions located in the C-terminal domain of DNA Topoisomerase 2-alpha act as polyphosphoinositide interaction sites and nucleolar localisation signals

Avatar
Poster
Voice is AI-generated
Connected to paperThis paper is a preprint and has not been certified by peer review

Lysine-rich regions located in the C-terminal domain of DNA Topoisomerase 2-alpha act as polyphosphoinositide interaction sites and nucleolar localisation signals

Authors

Ardawatia, V.; Jacobsen, R. G.; Turcu, D. C.; Ninzima, S.; Decker, N. P.; Edson, A. J.; Lewis, A. E.

Abstract

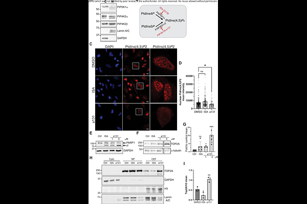
Polyphosphoinositides (PPIn) are lipid signalling molecules that regulate essential cellular processes in eukaryotic cells by regulating effector proteins not only in the cytoplasm, but also in the nucleus. To decipher PPIn nuclear functions, we have previously established quantitative proteomic methods in combination with PPIn pull-down to identify nuclear PPIn-binding proteins. We focused our analyses on one of these proteins, DNA Topoisomerase 2 (TOP2A), an enzyme known to resolve DNA topological problems occurring during replication, transcription and mitosis. In this study, we validated its direct interaction with PPIn and identified the binding site consisting of two lysine-rich polybasic regions (PBR) located within its C-terminal domain (CTD) at residues 1228-1237 and 1259-1276. Overexpression studies of the WT and PBR deletion mutants showed that these two PBR were required for TOP2A nucleolar localisation. TOP2A is localised to different sub-nuclear sites where PPIn have also been detected. We hence investigated the localisation of TOP2A by immunofluorescence microscopy and cell fractionation in relation to PPIn. We show that TOP2A colocalised with the PPIn phosphatidylinositol(4,5)bisphosphate (PtdIns(4,5)P2) in nuclear speckles of transcriptionally arrested HeLa cells. Inhibition of type II phosphatidylinositol-5-phosphate 4-kinase, which generates PtdIns(4,5)P2 from PtdIns5P, led to an increase of TOP2A levels associated with the chromatin. Our results demonstrated TOP2A as a PPIn effector protein and a role for nuclear PPIn in regulating the subnuclear dynamic of TOP2A.

Follow Us on

0 comments

Add comment