Expanding the Genetic Code of an Animal with Two Non-Canonical Amino Acids

Avatar
Poster
Voice is AI-generated
Connected to paperThis paper is a preprint and has not been certified by peer review

Expanding the Genetic Code of an Animal with Two Non-Canonical Amino Acids

Authors

Vazquez Rodriguez, J. J.; Greiss, S.

Abstract

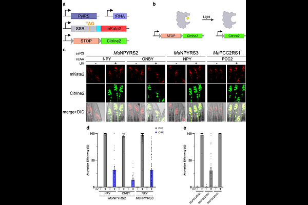
Expanding the genetic code of multicellular organisms for the incorporation of non-canonical amino acids has thus far been limited to a single non-canonical amino acid at a time. To overcome this limitation, we establish the pyrrolysyl-tRNA-synthetase (PylRS)/tRNAPyl pair from Methanomethylophilus alvus in Caenorhabditis elegans and show that it is highly efficient and mutually orthogonal to the Methanosarcina mazei PylRS/tRNAPyl pair previously established in the worm. We furthermore establish a set of mutually orthogonal blank codons for use in C. elegans that allow the simultaneous and independent incorporation of two ncAAs for the first time in an animal. We then engineer the non-canonical amino acid specificity of M. alvus PylRS to incorporate several photocaged ncAAs. Taken together, this allows expression of photocaged variants of FLP and Cre using two different photocaged amino acids, enabling us to optically control the expression of two target genes.

Follow Us on

0 comments

Add comment