Reprogramming mRNA localization by targeted RNA-protein interference

Avatar
Poster
Voice is AI-generated
Connected to paperThis paper is a preprint and has not been certified by peer review

Reprogramming mRNA localization by targeted RNA-protein interference

Authors

Mason, D.; Bandyopadhyay, D.; Jiwnani, N.; Meyer, B.; Mili, S.

Abstract

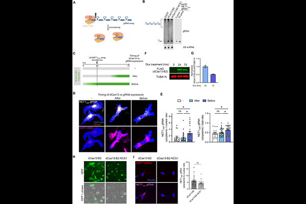
RNA binding proteins (RBPs) associate with RNAs in intricate ribonucleoprotein complexes and regulate various aspects of RNA life cycle and, by extension, cell functions. Despite their significance, elucidating the functional contributions of specific RNA-RBP binding events, particularly in long-term phenotypic assays, remains challenging. Here, we harness the specificity of CRISPR/dCas13 to interfere with specific RNA-RBP interactions. We apply this methodology to GA-rich mRNA localization elements which recruit the RNA-binding protein CNBP and serve as platforms for the assembly of mRNA trafficking complexes. We show that dCas13/gRNA binds to target transcripts in a highly specific manner and sterically interferes with CNBP recruitment leading to altered target mRNA localization and cell motility, consistent with the function of the targeted mRNAs. The effectiveness of dCas13/gRNA as a functional interference tool is curtailed by the strength of target mRNA binding as well as by the amount of cytoplasmic gRNA. We describe optimizations and considerations for the stable implementation of this system, to allow the investigation of long-term functional consequences of altered mRNA distributions.

Follow Us on

0 comments

Add comment