iMab Antibody Binds Single-Stranded Cytosine-Rich Sequences and Unfolds DNA i-Motifs

Avatar
Poster
Voice is AI-generated
Connected to paperThis paper is a preprint and has not been certified by peer review

iMab Antibody Binds Single-Stranded Cytosine-Rich Sequences and Unfolds DNA i-Motifs

Authors

Boissieras, J.; Bonnet, H.; Susanto, M. F.; Gomez, D.; Granzhan, A.; Defrancq, E.; Dejeu, J.

Abstract

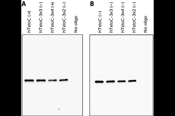
i-Motifs (iMs) are non-canonical, four-stranded secondary structures formed by stacking of hemi-protonated CH+-C base pairs in cytosine-rich DNA sequences, predominantly at pH < 7. The presence of iM structures in cells was a matter of debate until the recent development of iM-specific antibody, iMab, that was instrumental for several studies that suggested the existence of iMs in live cells and their putative biological roles. We assessed the interaction of iMab with cytosine-rich oligonucleotides by biolayer interferometry (BLI), pull-down assay and bulk-FRET experiments. Our results suggest that binding of iMab to DNA oligonucleotides is governed by the presence of runs of at least two consecutive cytosines and is generally increased in acidic conditions, irrespectively of the capacity of the sequence to adopt, or not, an iM structure. Moreover, the results of the bulk-FRET assay indicate that interaction with iMab results in unfolding of iM structures even in acidic conditions (pH 5.8 or 6.5), similarly to what has been observed with hnRNP K, well-studied single-stranded DNA binding protein. Taken together, our results suggest that iMab actually binds to blocks of 2-3 cytosines in single-stranded DNA, and call for more careful interpretation of results obtained with this antibody.

Follow Us on

0 comments

Add comment